学科建设
凶险大咯血来袭!介入止血妙手回春!——“中国出血中心联盟”纪实
咯血的定义
咯血是指喉及喉以下呼吸道或肺组织出血经口咳出的一种临床症状,临床上患者常表现为痰中带血、少量咯血(<100ml>300ml),给患者带来巨大的心理压力和负担;急性致死性大咯血可造成患者口鼻急剧喷射出大量鲜血,引起患者失血性休克,同时血凝块可阻塞气道,造成患者肺不张、吸入性肺炎等并发症,严重者会造成患者窒息死亡,病情凶险!
咯血的病因
咯血的病因有100多种,主要以肺结核(30%),支气管扩张(30%)、肺癌(9%)、慢性肺部炎症和肺脓肿(9%)多见。上述疾病均会侵蚀破坏肺部动脉血管壁,最终使血管破裂出血。
咯血的治疗
1、内科止血、抗感染等药物保守治疗。
2、外科开胸手术,切除出血病灶。但损伤大,下列情况均不能手术:
①出血灶广泛(不能把肺全切掉)
②患者全身状况差,肺功能差及凝血功能障碍,不能耐受开胸手术。
3、纤维支气管镜,可通过球囊压迫或直视下喷洒药物止血,但咯血未完全控制时易导致窒息,且对亚段肺叶以下病变无效。
介入止血,立竿见影!
介入治疗通过栓塞出血血管进行止血,是一种安全,高效,操作简便,损伤小,恢复快的微创治疗方法,临床应用广泛,对肺功能影响最小,适应症如下:
1、急性大咯血危及生命。
2、反复咯血,内科药物保守治疗无效。
3、肺部病变广泛,肺功能低下,不能手术切除或经手术治疗复发者。
4、不明原因的咯血,但又反复发作,可行支气管动脉造影明确诊断并及时进行栓塞治疗。

病 例
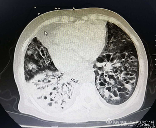
患者女性,67岁,大咯血,重度支气管扩张并感染、肺结核、肺气肿病史30余年,并肺动脉高压、肺心病、右心衰。曾于县、市多家医院及北京协和医院多次治疗心肺功能极差,外院应用止血药物无效,转入我科。下图为术前CT急诊行介入治疗,术中造影可见双侧支气管动脉均异常粗大,是出血的罪犯血管。栓塞后患者咯血即停止,效果立竿见影。


右侧病变支气管动脉

左侧病变支气管动脉

介入栓塞出血动脉治疗咯血是一种微创、可靠、有效的止血方法,适应症广泛,对于药物保守治疗无效或效果欠佳的患者是首选治疗!对危及生命的大咯血不但可挽救患者生命,而且可以起到长期控制出血的目的。同时肺部原发病的治疗也不容忽视!
我科治疗相关危重出血性疾病,包括肺部大咯血、消化道出血、肾出血、产后出血、骨盆骨折出血、恶性肿瘤出血(如肝癌破裂出血、宫颈癌、膀胱癌血尿、肺癌咯血)等;以及出预期血量较大手术的术前预防栓塞和主动脉球囊阻断技术(如宫颈妊娠、瘢痕妊娠、胎盘植入、前置胎盘等)。现已承担全院90%以上的介入止血治疗,止血效果及患者预后,得到了家属及各科室同行的高度认可和信任。辛勤的付出总会得到回报,我科于2018年11月正式成为“中国出血中心联盟”第一任理事单位,这标志着我院介入科在治疗危重症出血疾病领域又迈出了坚实的一步!

科室介绍:沧州市人民医院介入科是以治疗血管疾病及肿瘤微创介入治疗为专业特色的临床科室,在国内较早开展介入诊断与治疗,首批通过省卫计委肿瘤介入、外周血管介入、肿瘤物理消融等多个介入亚专业准入评审,现有医护人员33人,下设本部院区和医专院区两个介入手术室及全市第一家也是唯一一家介入治疗病房,拥有国内最先进的PHILIPS血管造影机、16排螺旋CT、氩氦刀冷冻消融系统、微波、射频消融治疗仪等尖端设备,可为患者提供微创、精准化、个体化的综合治疗,在设备条件、技术开展均居省内领先水平。我科开展的血管、肿瘤微创治疗主要包括:
1、肿瘤的微创介入治疗,包括肺癌、肝癌、肝血管瘤、食管癌、胃癌、肾癌、膀胱癌等良恶性肿瘤,对于早期病变可达到微创根治的效果。
2、血管疾病 ,包括下肢动脉硬化闭塞、糖尿病足、肾动脉狭窄高血压、主动脉夹层、腹主动脉瘤、布-加氏综合症、深静脉血栓、下肢静脉曲张等
4、出血性疾病,包括肝硬化门静脉高压所致的顽固性腹水、呕血黑便、脾功能亢进,肺部咯血、产后出血、血尿、肿瘤破裂出血等

付立平,主治医师,从事介入放射学诊断及临床治疗工作10余年。曾先后在北京协和医院、北京大学第一医院、北京肿瘤医院进修学习介入治疗专业,具有扎实的理论基础及熟练的操作技术,了解和掌握介入专业的国内外现状及发展趋势。擅长肝癌、肝血管瘤、肺癌、肾癌、宫颈癌、子宫肌瘤等良恶性肿瘤的血管介入治疗及物理消融治疗;肺部咯血、盆腔出血、消化道出血等危重症出血疾病的栓塞治疗;肾动脉狭窄、下肢动脉狭窄和闭塞及急性下肢深静血栓等周围血管疾病的介入治疗。
咨询电话:
付立平 副主任医师 18031798218
王健莉 主治医师 18131799889
马波 主治医师 19933278865
吕旭晨 医师 19933278605
张炜华 医师 19933278706
科室电话 0317-2139293







冀公网安备 13090202000217号