科普文章
肝癌的综合介入微创治疗
关于肝癌
肝细胞癌(HCC)是全球第6大恶性肿瘤和第3大癌性死亡病因,每年全球约有65万患者死于HCC,其中亚洲国家的患者占75%~80%,中国HCC患者数占全球患者总数的55%。由于HCC起病隐匿,大部分患者就诊时已是中晚期,能够外科手术切除的患者不到20%。而且,HCC恶性程度高,患者常常合并慢性肝炎和肝硬化,早期又易于播散和转移,手术后复发率较高,这些都严重影响了HCC患者的预后和生存率。
近30年来,肝动脉化疗栓塞术(TACE)为代表的介入治疗已成为不可切除HCC患者的主要治疗手段,它不仅改善了许多中晚期患者的生活质量,而且对早期HCC的疗效亦达到了与外科切除相媲美的程度。目前已涌现出多种针对肝癌的介入微创治疗技术,在肝癌的诊治当中,可以采用1~3种介入技术,使中晚期肝癌得到良好控制。
肝癌的综合介入微创治疗技术包括:肝动脉化疗栓塞术(TACE)、经皮穿刺肿瘤消融术(射频、微波)、放射性粒子植入(碘125粒子)、经皮瘤内注药、胆道引流管置入术(PTCD)等。
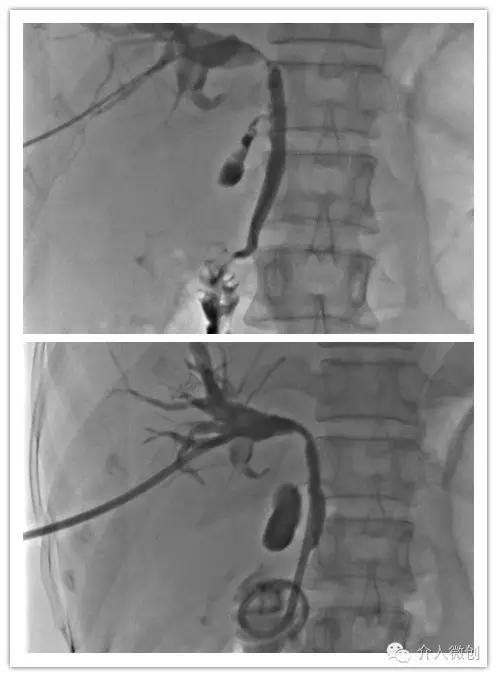
01肝动脉化疗栓塞术(TACE)
利用碘油化疗药物乳剂或药物缓释微球栓塞肿瘤的供血动脉和新生血管达到使肿瘤缺血缺氧坏死的目的,同时将化疗药带到肿瘤局部而起到缓慢释放、长期杀伤瘤细胞的作用。

02经皮穿刺肿瘤消融术(射频、微波)
通过不同的原理在肿瘤局部产生热效应。可以在极短的时间内产生60~100℃的局部高温,使肿瘤产生凝固坏死。术后患者的皮肤穿刺处只需贴一块创可贴,患者在接受治疗后2~6小时即可自由活动。

03放射性粒子植入(碘125粒子)
碘125粒子植入为肝癌内放射治疗的主要手段,其在组织局部的剂量最高、近粒源处的剂量较高、周围组织剂量陡降等放射物理学特性,有效地提高了射线局部与正常组织剂量分配,因此可以用于对肿瘤进行精确、持续的内放射治疗。

射频消融消融联合碘125放射性粒子植入有效杀灭肝脏肿瘤
04经皮瘤内注药
经皮瘤内注药为肝癌介入治疗的有效手段之一,可作为TACE术后残留病灶的有效补充治疗。经皮瘤内注射碘油化疗药乳剂较无水乙醇具有更好的弥散效果,药物可沿肿瘤内的管状结构弥散,具有较好的适形效果从而较彻底地灭活肿瘤。经皮瘤内注药可实现瘤体内局部高药物浓度而无明显全身不良反应,可较为安全、有效地消融位于膈顶、胆囊、大血管旁等危险区域病灶。

肝动脉化疗栓塞联合经皮瘤内注药有效控制肝脏转移瘤
05经皮胆道引流管置入术(PTCD)
中晚期肝癌常侵犯、压迫胆管导致出现梗阻性黄疸、继发胆道感染等,PTCD创伤小、见效快,可快速缓解梗阻症状、改善肝脏功能,且可为后续胆道支架植入等其它介入微创治疗打下良好基础,有效改善肿瘤晚期患者的生活质量。

肿瘤侵犯压迫肝门部胆管导致胆道梗阻,置入胆道引流管行胆汁引流减黄







冀公网安备 13090202000217号