您所在的位置: 首页 >> 正文

预约挂号

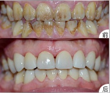
超薄瓷贴面,磨牙少,效果好

浏览次数:
字号:
+-14

超薄瓷贴面,磨牙少,效果好

随着人们生活水平的提高,大众审美意识的增强,对牙齿美容的要求越来越高,然而,传统的牙齿美容修复方式,磨牙多且常伴随牙齿敏感疼痛,给患者带来的恐惧远远超出了我们的想象。我院引进的国际先进技术——超薄瓷贴面,又称不磨牙贴面,它采用全新高科技生物材料及全程3D设计制作,应用独特工艺上色,形态完美、色泽自然逼真。它最薄可至0.2mm,硬度却达400Mpa,美观大方,经久耐用,无需备牙,维护简易,能帮助患者快速重展迷人笑容。适用于四环素牙、氟斑牙、增龄性变黄、牙釉质发育不全、牙齿间隙过大、牙齿缺损、乳牙滞留、牙齿过小、瓜子牙等。