诊疗特色
肝癌及肝转移癌的介入栓塞治疗
肝细胞肝癌(HCC)占我国原发性肝癌的绝大多数(95%),且发病率呈上升趋势,是最常见的肝脏原发恶性肿瘤。肝癌起病隐匿,早期缺乏典型症状(经AFP普查检出的早期病例可无任何症状和体征),绝大多数患者在明确诊断时已多为中晚期,失去手术治疗机会。转移性肝癌主要继发于胃癌、结肠癌、胆囊癌、胰腺癌、子宫癌和卵巢癌等。消化道肿瘤,尤其是大肠癌经转移途径形成仅局限于肝脏的转移病灶情况是非常多见的,文献报道行根治性切除的大肠癌患者中35%-60%因肝转移而死亡,由此可见转移性肝癌是影响到此类患者预后的重要因素之一,因此肝转移病灶的局部动脉灌注化疗栓塞,对患者的生存期的延长尤显重。介入治疗作为中晚期肝癌首选的治疗手段已被广泛接受,其不仅可以抑制肿瘤生长,改善患者生存质量,延长患者生存期,而且部分原来无法基础手术切除的大肝癌患者经介入治疗后明显缩小,可再次行二期手术切除。根据目前国际比较公认而广泛采用的巴塞罗那临床肝癌(BCLC)分期与治疗策略,介入治疗是中晚期肝癌患者的标准治疗。1979~2004年25年间强有力随机对照研究约有70个。这些研究均显示,只有介入治疗可以提高患者2年生存率,中位生存期延长至19~20个月。且相对于其他局部疗法,介入治疗多灶肿瘤具有独特优势。因此2005年美国HCC诊治规范将介入治疗列为不能手术切除肝脏恶性肿瘤的一线治疗方法。
介入栓塞的治疗原理:
介入栓塞治疗通过将微导管超选择至肿瘤供血动脉,将化疗药物直接经微导管注入肿瘤供血动脉内,使癌细胞暴露于高浓度的药物中,可明显提高肿瘤病灶内药物浓度(化疗药物浓度可比经静脉全身注入提高100倍),并减少了药物同正常组织的结合及代谢,从而提高了化疗药物对肿瘤的治疗作用而又减少化疗药物的全身毒副作用(首过效应)。同时应用加入化疗药物的栓塞剂对肿瘤的供血动脉进行栓塞,不但阻断了肿瘤的供血,造成肿瘤的缺血性坏死,而且可使化疗药物在局部滞留数周,从而减缓化疗药物从肿瘤中逸出,延长了化疗药物的作用时间。瘤内高浓度化疗及肿瘤供血动脉阻断起协同作用而导致肿瘤坏死。

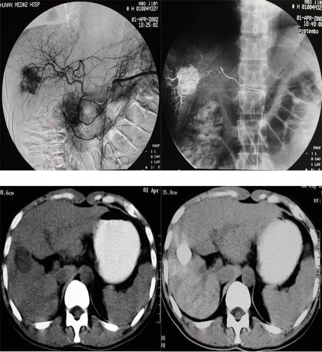
肝癌介入治疗前后造影及CT疗效对比
介入栓塞治疗的主要作用:
1、对不能够手术切除的患者,可改善患者生存质量,延长患者生存期。部分肿瘤行栓塞术后,病情改善,肿块缩小,控制其进一步侵犯正常肝组织,尽量减少对正常肝组织损害,并可再次行二期手术切除。
2、对术前介入栓塞有两个好处:①介入栓塞后1~2周CT检查,可发现CT、超声等不能发现的<5mm的病灶,利于肿瘤完全切除,也利于减少盲目根治性手术切除;②当肿瘤邻近管道结构时,化疗栓塞后可以使肿瘤体积减小,血供减少,边界清晰,利于手术切除,并减少肿瘤播散机会。
3、术后介入栓塞主要作用:抑制及早发现微转移灶和治疗未能除净的微小残癌病灶,起到预防复发和补充治疗的作用。并可延长无瘤生存。东方肝胆医院对照1630例术后经过和未经介入栓塞治疗的肝癌术后复发的病例分析,经介入栓塞后复发的高峰期后移12个月以上,而术后未经介入栓塞的患者复发高峰期则在6个月以内。介入栓塞在预防肝癌术后复发上,有着显著的效果。







冀公网安备 13090202000217号